不正咬合の矯正治療 不正咬合の分類 | 藤沢・辻堂・茅ヶ崎・大船・鎌倉 小児矯正・噛み
(3828件)
Pontaパス特典
サンキュー配送
7500円(税込)
75ポイント(1%)
Pontaパス会員ならさらに+1%ポイント還元!
送料
(
)
3822
配送情報
お届け予定日:2026.05.11 14:50までにお届け
※一部地域・離島につきましては、表示のお届け予定日期間内にお届けできない場合があります。
ロットナンバー
70959106828
お買い物の前にチェック!
Pontaパス会員なら
ポイント+1%
ポイント+1%
商品説明





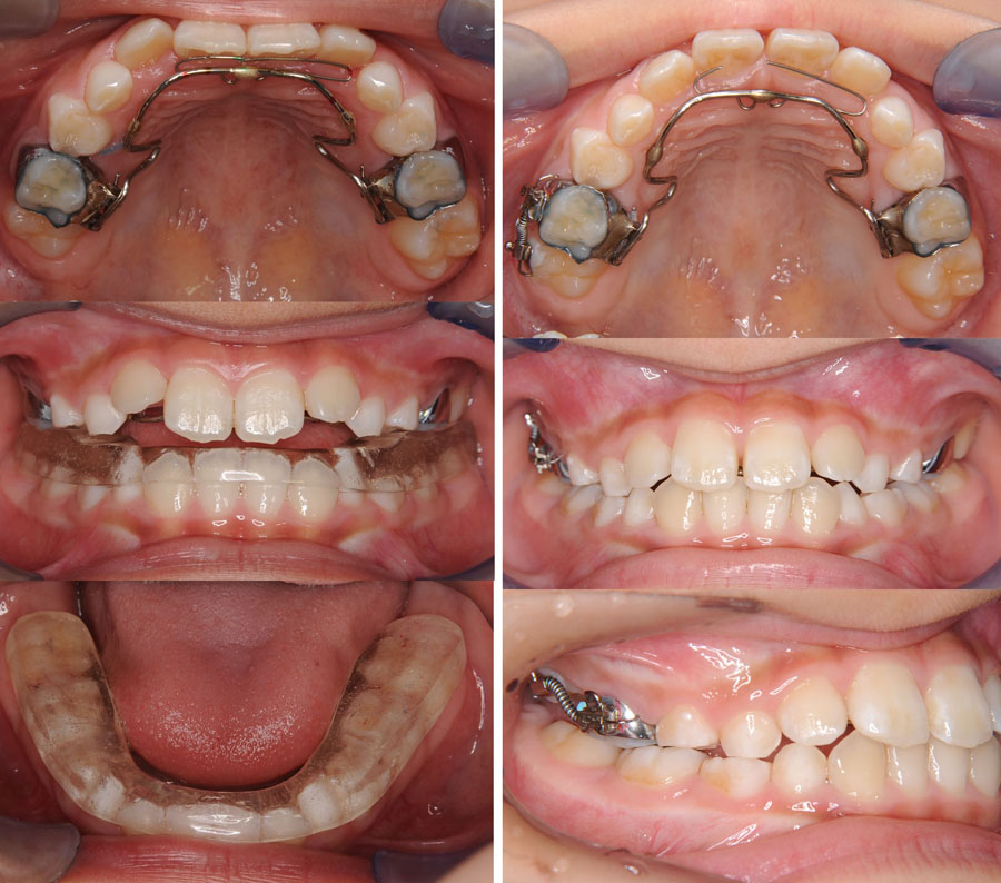
不正咬合の矯正治療に関する詳細な理論と臨床情報を提供する専門書。- 著者: 佐藤真雄・白数明義- タイトル: 不正咬合の矯正治療- 目次: 理論編、臨床編- 定価: 20,000円(税別)ご覧いただきありがとうございます。
| カテゴリー: | 本・雑誌・漫画>>>本>>>健康・医学 |
|---|---|
| 商品の状態: | 未使用に近い","数回使用し、あまり使用感がない |
| 配送料の負担: | 送料込み(出品者負担) |
| 配送の方法: | 佐川急便/日本郵便 |
| 発送元の地域: | 埼玉県 |
| 発送までの日数: | 2~3日で発送 |
レビュー
商品の評価:




4.5点(3828件)
- ラグドール2
- 3歳9ヶ月&8ヶ月の姉妹の母です。 下の娘が産まれたとき、意外にもあまり赤ちゃん返りをしなかった長女。 今現在も割と妹を可愛がってくれる優しいお姉ちゃんです。 出産前は『できるだけ上の子を優先に。。』と思っていましたが、状況によってはそうもいかないことが多々あり、きっと寂しい思いをさせているんだろうなぁ。 私はこの本に出てくるお母さんみたいにちゃんと上の子の気持ちを汲み取れているかな? この本を読むたびにそう自問自答してしまいます。 長女の為に買った本でしたが、母親の私自身にも色々考えさせてくれる本ですね。
- アビ_
- 小さくて可愛いですが、思っていたよりブルーなど暗い色が多くて、息子の好みに合わなかったようです。残念。
- べ0220
- 思わずクスッて笑ってしまう内容で、ほっこりしました。絵のタッチもカラーもキレイで、お気に入りになりました。オラフだけでなく、エルサやアナなど脇役で登場しますが、映画にはない楽しさがあり、クリスマスを楽しみに待つツールの1つになりました。
- daliadalia
- 一歳の子には早かったです。全体的なトーンが暗めの絵で、夜を演出しているのかなと思いました。クリスマスを楽しみに待つツールとして絵本が欲しかったので、店頭で見たら買わなかったかもしれません。子どもが大きくなるまでしまっておきます。
- hana4858
- 3歳の娘がこれが欲しいといったので・・。 大人には分からないおもしろさがあるんでしょうね。読みながら娘が笑い転げています(笑)
- ルイママ1959
- すぐに1冊終わってしまうくらい、楽しく取り組めるようです。
- ソックス1366
- 2才の息子に購入しました。 夜になってお月さまが出てきて、雲さんがお月さまとお話をしたから見えなくなっちゃって、雲さんがいなくなったらまたニッコリしたお月さまが見えて。。。 という簡単なお話ですが、子供はお月さまに興味津々で、最後まで飽きずに見ていました(^-^)こんばんわのところで息子は絵本のお月さまにお辞儀をしていました。 読みやすくとてもオススメできる絵本です!!
- ねこねこもこもこ
- 色を言いながら バスの乗客を予想しながら 1ページ1ページめくる度、ワクワクするお話しでした。言葉を話し始めた年頃から、楽しめるお話しです(*^-^) バス好きな息子も喜んでくれました。
- haya9884
- 図書館で毎回借りていた絵本を買うことにしました。「どーこだどこだ」というセリフを覚えるほど読み込んでいました。
- azuki0583
- やさいさんを既に持っていて面白かったので、こちらも2才の息子に購入しました。 めくって出てくる絵がカワイイです。 果物の名前を覚えられるし、葉っぱの違いもわかるかなぁと期待しています。 やさいさんの最後の大根さんほどの迫力やビックリはなかったのが残念でしたf^_^;) でも子供がめくるのを楽しんで見ています。
- Basil0007835
- 子供も大人もクスッと笑えるお話しです。パンダが好きすぎる長女だけ、パンダはパンダなんだ!って怒ってましたが、私は前から気になっていた絵本で、買って良かったです。
- ベティー55
- 我が家は0歳の娘がいます。この子がお姉ちゃんになるときがとても楽しみになるような絵本でした。その時はぜひこの本を読んであげたいと思います。 胸がじーんとなるような内容でした。
- キラキラ0455
- 古本屋で見てて大人としてはどうかなーでしたが、ちょっと怖い絵本ブームな4歳の娘がこの仕掛け絵本を忘れられず、購入。有名な仕掛け絵本作家のロバートサブダの作品ほどの感動はないですが、子どもの好きな感じです。カーテンのところは速攻で壊れたので、星2つ減らしましたが、おばけやしきが好きな男の子とかにもオススメです。
すべて見る
お店の情報
7,367
連絡・応対
4.3
配送スピード
4.3
梱包
4.3










